Làm thế nào để nhận biết mình đã bị nhiễm HIV?

HIV/AIDS đã và đang là vấn nạn thế kỉ. Mặc dù hiện nay HIV đã được kiểm soát tốt hơn nhưng tỉ lệ mới mắc hàng năm vẫn là con số không nhỏ. Tâm lý chung của những người có nguy cơ phơi nhiễm HIV là: Họ không biết liệu mình có bị HIV hay không nhưng lại rất sợ và ngại đi khám. Vậy phải làm thế nào để biết liệu mình có bị nhiễm HIV?
Nếu bài viết này chưa cung cấp đầy đủ thông tin bạn cần biết, hoặc bạn có những dấu hiệu nghi ngờ rằng mình đang nhiễm HIV xin đừng ngại liên hệ ngay với phòng khám Hello Doctor chúng tôi theo số 0886006167 để được tư vấn rõ ràng hơn
Gọi điện Tư vấn và Hẹn khám Bác sĩ: 19001246
Bảo mật danh tính hoàn toàn!
Trước hết, bạn cần hiểu rõ HIV là gì rồi mới có thể nhận biết về nó. HIV bản chất là một loại virus làm suy giảm hệ miễn dịch ở người, bạn có thể tìm hiểu thêm thông tin tại Bệnh HIV. Trong bài viết này, chúng tôi sẽ đưa ra một số những triệu chứng giúp bạn có thể nhận biết được mình có đang mắc bệnh HIV hay không.
Triệu chứng chung của bệnh HIV
1. Sốt
Bị sốt là một trong những dấu hiệu sớm nhất và cũng phổ biến nhất của việc nhiễm HIV. Cơn sốt có thể đến sớm ngay sau khi đã nhiễm HIV. Thông thường, cơn sốt thường là nhẹ cho đến trung bình.
Nhiệt độ thường không vượt quá 38 độ C. Bệnh nhân có thể gặp các triệu chứng kèm theo như ra mồ hôi và ớn lạnh. Triệu chứng sốt này có thể kéo dài suốt gần 2 tuần.
Cơ chế dẫn đến hiện tượng sốt khi bị nhiễm HIV là do phản ứng của hệ miễn dịch trước sự nhân lên của virus trong dòng máu.
2. Mệt mỏi
Phản ứng của hệ thống miễn dịch cũng có thể khiến người mắc HIV cảm thấy mệt mỏi và lờ đờ. Mệt mỏi có thể là một dấu hiệu sớm của nhiễm HIV.
_____________________________
HELLO DOCTOR - MANG SỨC KHOẺ ĐẾN CUỘC SỐNG
_____________________________
3. Đau nhức cơ bắp, đau khớp
Triệu chứng nhiễm HIV thường dễ bị nhầm lẫn với bệnh cúm hoặc nhiễm loại virus khác, vì bản thân HIV cũng là một loại virus. Cũng vì thế người mắc có thể bị đau nhức cơ bắp, đau khớp như một bệnh nhiễm virus thông thường. Triệu chứng này có thể ảnh hưởng đến công việc hàng ngày. Người bị nhiễm cần phải nghỉ ngơi giữa quá trình làm việc.
>>>Đôi khi bạn cũng có thể bị nhầm lẫn triệu chứng đau nhức cơ bắp ở một số bệnh khác với HIV. Để biết các bệnh khác cũng gây ra triệu chứng này, bạn có thể xem thêm TẠI ĐÂY.
4. Sưng hạch bạch huyết
Vùng hạch sưng thường thấy là ở cổ và nách. Hạch sưng nhưng không nóng, đỏ, cũng không đau. Vì thế nhiều người thường bỏ sót triệu chứng này.
5. Đau họng và đau đầu
Cũng như với các triệu chứng khác, đau họng và đau đầu thường là biểu hiện của phản ứng miễn dịch trong cơ thể.
6. Giảm cân
Giảm cân quá mức hoặc “hội chứng suy mòn” là một vấn đề thường gặp. Theo thống kê, khoảng 20% những người bị nhiễm HIV bị sụt cân nhanh . Nếu bạn đang giảm cân nhiều và nhanh, có nghĩa là hệ thống miễn dịch đã khá yếu.
_____________________________
HELLO DOCTOR - MANG SỨC KHOẺ ĐẾN CUỘC SỐNG
_____________________________
7. Triệu chứng tiêu hóa: Buồn nôn, nôn, tiêu chảy
Có khoảng 30% đến 60% số người bị buồn nôn, ói mửa, hoặc tiêu chảy trong giai đoạn đầu có HIV. Những triệu chứng này cũng có thể xuất hiện trong và sau khi điều trị kháng virus, thường là hậu quả của đợt nhiễm trùng cơ hội.
Biểu hiện ngoài da của bệnh HIV
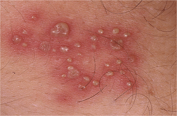
1. Phát ban đỏ ở da
Phát ban trên da là triệu chứng hồng ban đa dạng đối xứng ở đến mặt, lòng bàn tay và lòng bàn chân cũng như thân và chi. Phát ban da có thể xảy ra sớm hoặc muộn trong quá trình cơ thế phản ứng lại với virus HIV. Nếu bạn bị phát ban mà không rõ nguyên nhân, gần đây lại có những hoạt động khiến bạn có nguy cơ lây nhiễm HIV, thì bạn nên đi xét nghiệm ngay để loại trừ.
2. Mụn rộp hoặc herpes sinh dục
Lở loét lạnh (herpes miệng) và herpes sinh dục có thể là một dấu hiệu của cả giai đoạn ARS (giai đoạn cửa sổ) và nhiễm HIV giai đoạn cuối.
Mặt khác, nhiễm herpes sinh dục cũng làm tăng nguy cơ lây nhiễm HIV. Điều này là do herpes sinh dục có thể gây viêm loét làm HIV dễ dàng đi vào cơ thể khi quan hệ tình dục. Và những người có HIV có xu hướng bùng phát nghiêm trọng herpes hơn vì HIV làm suy yếu hệ thống miễn dịch.

Biểu hiện về thần kinh của bệnh HIV
1. Lẫn lộn hoặc khó tập trung
Có vấn đề về nhận thức có thể là một dấu hiệu của bệnh mất trí nhớ liên quan đến HIV, thường xảy ra vào giai đoạn cuối trong quá trình của bệnh.
Ngoài bị nhầm lẫn, khó tập trung, sa sút trí tuệ liên quan đến AIDS, người bệnh còn có thế mắc các vấn đề về trí nhớ và rối loạn hành vi. Thậm chí, người bệnh có thể bị suy giảm các hoạt động phối hợp: trở nên vụng về, thiếu phối hợp, và gặp khó khăn với công việc đòi hỏi kỹ năng vận động như viết bằng tay.
_____________________________
HELLO DOCTOR - MANG SỨC KHOẺ ĐẾN CUỘC SỐNG
_____________________________
2. Ngứa ran
HIV giai đoạn muộn cũng có thể gây tê và ngứa ran ở bàn tay và bàn chân. Đây là triệu chứng bệnh lý thần kinh ngoại vi, cũng thường xảy ra ở những người bị bệnh tiểu đường.
Nói chung, để chẩn đoán được HIV giai đoạn đầu là rất khó, vì không có triệu chứng hoặc dấu hiệu nào đặc trưng. Tuy nhiên, ở giai đoạn này rất dễ lây nhiễm do lượng virus HIV lưu hành trong máu và dịch tiết rất cao. Việc chẩn đoán sớm là rất quan trọng để ngăn ngừa lây truyền qua đường tình dục trong nhiễm HIV giai đoạn đầu.
>>>Xem thêm: Bệnh HIV có chữa được không.
Tuy nhiên, phải lưu ý với bạn rằng những triệu chứng trên đây không hề có tính đặc thù và cũng có thể xuất hiện ở một số bệnh khác. Vì vậy, cách duy nhất để xác định chính xác bạn có đang mắc bệnh HIV không đó là làm xét nghiệm HIV. Bạn có thể đến các địa chỉ xét nghiệm HIV chính xác Hello Doctor để được thăm khám và làm các xét nghiệm cần thiết. Liên hệ đặt khám với các bác sĩ của chúng tôi theo số điện thoại 1900 1246.
Hỗ trợ điều trị HIV hiệu quả
Bạn/người thân nếu có tiếp xúc với Hiv (nghi ngờ nhiễm Hiv), hoặc đã được điều trị Hiv cần lời khuyên phương án điều trị hiệu quả, nên tìm các cơ sở y tế có các bác sĩ chuyên khoa truyền nhiễm hoặc được đào tạo về HIV. Sau đây là cách thức để bạn có thể đánh giá được chất lượng của cơ sở y tế và bác sĩ điều trị cho bạn:
1- Bạn hãy liên lạc đến số điện thoại cơ sở y tế để tư vấn: Hãy đánh giá chất lượng nhiệt tình và kiến thức của người tư vấn cho bạn qua điện thoại ( cơ sở y tế không nhiệt tình, hoặc hàm lượng kiến thức cho bạn ít dẫn đến chất lượng chăm sóc trong quá trình điều trị hoặc sau điều trị không tốt)
2- Đến trực tiếp cơ sở y tế: Ngoài việc tư vấn qua điện thoại, đến trực tiếp sẽ giúp bạn được nhiều hơn như: gặp trực tiếp tư vấn viên và bác sĩ tại cơ sở y tế. Tại cơ sở y tế bạn hãy hỏi rõ thêm:
- Các xét nghiệm HIV được làm (Test kháng nguyên, kháng thể, PCR, CD4, kháng thuốc, tải lượng HIV...): Việc am hiểu xét nghiệm sẽ đánh giá được mức độ tình trạng của bạn hiện tại rõ ràng và khoa học.
- Thuốc điều trị: Dựa vào xét nghiệm, bạn được tư vấn các loại thuốc phù hợp (Nhạy cảm với thành phần của thuốc nào? bạn có đang bị các vấn đề gan thận không? có bị trầm cảm/stress không?...), cơ sở y tế càng có nhiều loại thuốc sẽ có càng nhiều phương án điều trị hiệu quả cho bạn.
3- Theo dõi trong quá trình điều trị: hiện tại việc theo dõi điều trị tại các bệnh viện theo dõi bằng hình thức đến đăng kí khám lại, theo dõi hồ sơ dựa trên sổ khám bệnh. Hãy chọn đơn vị y tế có thể hỗ trợ bạn bằng hình thức sau: qua điện thoại, qua zalo, và đến trực tiếp (không chờ đợi, không phải đăng kí quá phức tạp). Tác dụng phụ hay gặp phải: Đa số thuốc điều trị HIV có nhiều tác dụng phụ do vậy việc theo dõi rất quan trọng ảnh hưởng đến sức khoẻ và chất lượng điều trị của bạn. Dựa vào triệu chứng, kết quả xét nghiệm, thời gian sử dụng thuốc... tóm lại, THEO DÕI ĐIỀU TRỊ RẤT QUAN TRỌNG
- Bác sĩ chuyên môn: Bác sĩ chuyên khoa truyền nhiễm hoặc được đào tạo về HIV sẽ có chuyên môn tốt để khám, chẩn đoán chính xác tình trạng của bạn giúp bạn TIẾT KIỆM CHI PHÍ, điều trị hiệu quả. Ngoài ra, đơn vị y tế nếu có thêm các chuyên khoa khác cũng có thể giúp nhiều cho bạn vì đi kèm Hiv thường thêm các vấn đề về: Da liễu, Nam Khoa, Tiết niệu, tiêu hoá.
4- Bảo mật thông tin: Vì bệnh HIV khá nhạy cảm trong xã hội hãy hỏi rõ việc bảo mật thông tin cho bạn được tiến hành thế nào?
_____________________________
HELLO DOCTOR-MANG SỨC KHOẺ ĐẾN CUỘC SỐNG
_____________________________
Hello Doctor là nơi qui tụ nhiều bác sĩ chuyên khoa giỏi, có đội ngũ quản lí nhiều kinh nghiệm, áp dụng công nghệ hiện đại giúp việc chăm sóc theo dõi điều trị hiệu quả, các hãng dược lớn thường cung cấp thông tin mới nhất về thuốc mới, độ an toàn, chất lượng cao.
Chia sẻ bệnh nhân
- 19/03/2019- Giấu tên: 6 tháng trước có đi bóc bánh trả tiền, gọi gà một lần bị rách bao. Sợ bị nhiễm HIV muốn đi khám nhưng lại sợ bị người khác biết. Cuối cùng thì được bác sĩ ở đây cam kết không hỏi thông tin tới khám và xét nghiệm lúc nhờ tư vấn nên cảm thấy bớt lo. Rất cảm ơn.
- 07/03/2018- Trần Thị Hằng: Tôi đã rất lo lắng cho em mình vì nó đã quan hệ tình dục với một người có nhiều khả năng bị nhiễm HIV. Nhưng sau khi đi xét nghiệm thì âm tính. Các bác sĩ đã giúp tôi và em bình tĩnh lại trong thời gian chờ kết quả, cảm ơn các bác sĩ rất nhiều
-27/03/2019 - Lâm: Bác sĩ Dương rất tận tâm với Nghề. Gia đình tôi mang ơn bs Dương đã điều trị cho cháu nhà tôi 10 năm nay.
Lời khuyên của chuyên gia về điều trị HIV
- Bác sĩ Quân-Bệnh viện Bệnh Nhiệt đới: " Điều trị HIV cần được đánh giá dựa trên xét nghiệm, sử dụng thuốc và theo dõi liên tục tránh bị nhiễm trùng cơ hội"
- Bác sĩ Dương- Phó cục trưởng cục HIV: " Tuân thủ nghiêm ngặt đơn thuốc của bác sĩ là bí quyết giúp bệnh HIV không bị lây nhiễm cho người khác, giúp bệnh nhân sống khoẻ lâu dài"
- Bác sĩ Việt- bệnh viện Trưng Vương: " Bệnh HIV hiện nay không còn là một vấn nạn xã hội so với các bệnh tiểu đường, ung thư, bệnh tự miễn... HIV nhẹ nhàng hơn rất nhiều"










Bình luận, đặt câu hỏi