U trung thất
Các khối u trung thất phát triển ở một trong ba khu của trung thất: phía trước, giữa, hoặc phía sau (lưng). Các khối u này có thể là u nguyên phát hoặc thứ phát, u lành tính hoặc u ác tính.
==
Tư vấn và khám bệnh:
✍ Bác sĩ Nguyễn Hoàng Bình- Bệnh viện Công tuyến đầu
==
2. Triệu chứng bệnh u trung thất
3. Nguyên nhân gây ra bệnh u trung thất
4. Tác hại của bệnh u trung thất
1. Bệnh U trung thất là gì?
Khối u là sự phát triển bất thường của mô. Chúng có thể xảy ra ở hầu hết mọi vùng trên cơ thể. Chúng còn được gọi là u bướu và thường liên quan đến ung thư. Các khối u trung thất phát triển ở trung thất. Trung thất là vùng ở giữa ngực, nằm giữa xương ức và cột sống. Khu vực này chứa các bộ phận quan trọng bao gồm: tim, thực quản và khí quản.
Vị trí của khối u ở trung thất thường phụ thuộc vào độ tuổi của bệnh nhân. Khối u trung thất ở trẻ em thường gặp ở khu sau của trung thất. Đây thường là các khối u lành tính, hoặc không gây ung thư. Mặt khác, u trung thất ở người lớn thường gặp ở khu trước, các khối u này thường ác tính, hoặc gây ung thư. Người lớn thường mắc phải ở độ tuổi từ 30 đến 50. Nhìn chung, khối u trung thất rất hiếm gặp.
Nhận tư vấn và điều trị bệnh u trung thất 1900 1246.
2. Các dấu hiệu, biểu hiện và triệu chứng nhận biết bệnh u trung thất
Nếu bạn có một khối u trung thất, bạn có thể không gặp bất kỳ triệu chứng gì. Các khối u thường hiện diện trên phim XQ ngực được chụp để chẩn đoán một tình trạng sức khoẻ khác.
Nếu các triệu chứng xuất hiện và tiến triển, nó thường do khối u đang chèn ép các cơ quan xung quanh. Các triệu chứng có thể bao gồm:
- Ho
- Khó thở
- Tức ngực
- Sốt / ớn lạnh
- Đổ mồ hôi đêm
- Ho ra máu
- Sụt cân không rõ nguyên nhân
- Sưng hạch bạch huyết
- Tắc nghẽn hô hấp
- Khàn tiếng
Bạn có thể xem thêm bài viết chi tiết hơn để hiểu thêm về dấu hiệu nhận biết u trung thất: dấu hiệu, biểu hiện và triệu chứng nhận biết bệnh u trung thất
Khi nào cần gặp bác sĩ?
Khi thấy bản thân có các triệu chứng của bệnh u trung thất, bạn nên đi khám bác sĩ để được chẩn đoán và có phương án chữa trị kịp thời.
==
Tư vấn và khám bệnh:
✍ Bác sĩ Nguyễn Hoàng Bình- Bệnh viện Công tuyến đầu
==
3. Nguyên nhân gây ra bệnh u trung thất
Có nhiều loại u trung thất. Nguyên nhân gây ra những khối u này phụ thuộc vào nơi chúng được hình thành trong trung thất.
Ở khu trước của trung thất, khối u có thể là do:
- Lymphoma – khối u ác tính bao gồm cả bệnh Hodgkin và không Hodgkin
- Thymoma (u tuyến ức) và u nang tuyến ức
- Bướu giáp thòng trung thất (hường là lành tính, nhưng đôi khi có thể gây ung hoá)
Ở khu giữa của trung thất, khối u có thể là do:
- U nang phế quản (u lành tính gặp trong hệ hô hấp)
- Hạch lympho trung thất, hoặc phì đại các hạch bạch huyết
- Nang màng ngoài tim (sự phát triển lành tính trên màng tim)
- Bướu giáp thòng trung thất.
- Các khối u khí quản (thường là tăng trưởng lành tính)
- Bất thường về mạch máu như phình hay bóc tách động mạch chủ.
Ở khu sau của trung thất, khối u có thể là do:
- Extramedullary haematopoiesis – Một nguyên nhân hiếm gặp của khối u hình thành từ tủy xương mở rộng và thường kết hợp với thiếu máu nặng.
- Hạch trung thất
- Khối u thần kinh trung thất (tế bào ung thư của thần kinh)
- U nang thần kinh trung thất (Một nguyên nhân hiếm gặp liên quan đến hệ thống thần kinh và hệ thống tiêu hóa)
Khối u thần kinh trung thất là nguyên nhân phổ biến nhất gây ra các khối u trung thất sau. Theo tổ chức Cleveland Clinic Foundation, khoảng 70% trong số đó là lành tính.
Các khối u hình thành ở trung thất cũng được gọi là khối u nguyên phát. Đôi khi khối u trung thất xuất hiện và phát triển do sự di căn từ các bộ phận khác trong cơ thể. Sự lây lan của ung thư từ một vùng trên cơ thể sang các vùng khác được gọi là di căn. Các khối u trung thất phát triển do di căn được gọi là khối u thứ phát.

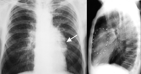
Hình ảnh chụp X-quang khối u trung thất
4. Tác hại và biến chứng của bệnh u trung thất
Cả khối u lành tính và ác tính đều cần được điều trị. Khi những khối u lành tính phát triển, chúng sẽ chèn ép các cơ quan và các mô xung quanh, có thể làm ảnh hưởng đến chức năng của các cơ. Các khối u ung thư có thể lan ra các vùng khác trên cơ thể. Các khối u xâm lấn trái tim hoặc mạch máu của tim có thể dẫn đến tử vong. Khối u cũng có thể xâm nhập vào cột sống. Điều này có thể dẫn đến việc chèn ép cột sống. Liên hệ để được tư vấn thêm 1900 1246.
Đọc thêm bài viết liên quan: U Thành Ngực
Điều trị liên quan đến hóa trị và xạ trị có thể có nhữngtác dụng phụ nghiêm trọng, chẳng hạn:
- Thay đổi khẩu vị
- Xuất huyết
- Thiếu máu
- Táo bón
- Bệnh tiêu chảy
- Mệt mỏi
- Rụng tóc
- Nhiễm trùng
- Buồn nôn ói mửa
- Đau đớn
- Sưng
Xạ trị cũng có thể gây ra những thay đổi trên da, như:
- Khô rát
- Ngứa
- Lột da
- Phồng rộp
U trung thất nếu không được điều trị sớm sẽ có nguy cơ ảnh hưởng đến tính mạng, nếu bạn thấy có điều gì bất thường hãy liên hệ đặt khám ngay với bác sĩ Nguyễn Hoàng Bình của theo số điện thoại 1900 1246.
5. Điều trị bệnh u trung thất
Chẩn đoán
Nếu bạn có các triệu chứng của khối u trung thất, bác sĩ sẽ yêu cầu thêm các xét nghiệm bổ sung để xác định chẩn đoán của bạn. Những thử nghiệm này có thể bao gồm:
- X-quang ngực
- Chụp CT ngực
- MRI ngực
- Phương pháp nội soi kèm sinh thiết
Xét nghiệm nội soi kèm sinh thiết được sử dụng để thu thập các tế bào từ trung thất. Trong quá trình kiểm tra này, bạn sẽ được gây tê. Sau đó, bác sĩ sẽ làm một vết rạch nhỏ dưới xương ức. Họ sẽ lấy một mẫu mô và phân tích nó để xem có ung thư hiện diện hay không. Thủ thuật này sẽ giúp bác sĩ chẩn đoán xác định loại khối u mà bạn mắc phải.
==
Tư vấn và khám bệnh:
✍ Bác sĩ Nguyễn Hoàng Bình- Bệnh viện Công tuyến đầu
==
Điều trị
Điều trị các khối u trung thất sẽ tùy thuộc vào vị trí của chúng và sẽ do bác sĩ quyết định. Phẫu thuật thường được sử dụng đầu tiên để loại bỏ các khối u. Một khi khối u được lấy ra, bác sĩ của bạn có thể sử dụng hóa trị liệu và / hoặc xạ trị để tiêu diệt các tế bào ung thư còn lại.
Những thông tin hữu ích mà bạn nên tham khảo:
- Biểu hiện của bệnh u trung thất
- Cách điều trị bệnh u trung thất
- Tác hại của bệnh u trung thất
- Cách xử lý hạch u trung thất lớn giai đoạn cuối
Để điều trị bệnh u trung thất, liên hệ đặt khám ngay với bác sĩ Nguyễn Hoàng Bình của Hello Doctor theo số điện thoại 1900 1246.











Bình luận, đặt câu hỏi