Điều gì gây nên hội chứng Down?

Hội chứng Down là bệnh di truyền thường gặp. Bệnh được mô tả lần đầu tiên vào năm 1866 và được đặt tên theo ông John Langdon Down. Nguyên nhân của hội chứng Down được phát hiện vào năm 1959.
Bác sĩ tham vấn thông tin:
✍ Các bác sĩ Di Truyền Hello Doctor
Điều gì gây nên hội chứng Down?
Hội chứng Down có thể gây nên bởi một trong 3 loại bất thường trong phân chia tế bào liên quan đến nhiễm sắc thể 21.
Ba thể gen đó gồm:
- Trisomy 21 – Hơn 90% trường hợp mắc hội chứng Down gây nên do trisomy 21. Một nhiễm sắc thể dư (thuộc nhiễm sắc thể 21) xuất phát từ sự phát triển của cả tinh trùng hoặc trứng. Khi trứng và tinh trùng kết hợp để tạo ra hợp tử, ba (mà không phải hai) nhiễm sắc thể 21 được tạo thành. Khi tế bào phân chia nhiễm sắc thể dư đó cũng được sao chép lại trong tất cả các tế bào.
- Trisomy 21 thể khảm – Đây là một dạng hiếm gặp (ít hơn 2% trong các trường hợp) của hội chứng Down. Tương tự như trisomy 21 thể đơn giản nhưng điều khác biệt là nhiễm sắc thể 21 dư chỉ hiện diện trong một số tế bào của một cơ thể. Dạng hội chứng Down này gây ra do bất thường phân chia tế bào sau khi thụ tinh. Tên gọi của nó xuất phát dựa theo đặc điểm của bệnh, là thể phối hợp ngẫu nhiên các tế bào lành và tế bào bất thường (như dạng khảm). Có khảm tế bào và khảm mô, khảm tế bào thấy ở nhiều tế bào khác nhau của cùng một loại, trong khi với khảm ở mô, một bộ các tế bào có thể vừa chứa các tế bào có bộ nhiễm sắc thể bình thường và vừa có chứa trisomy 21.
- Chuyển vị Trisomy 21 – chiếm khoảng 3-4% trường hợp, trong đó một phần của nhiễm sắc thể 21 gắn (chuyển vị) vào một nhiễm sắc thể khác (thường là nhiễm sắc thể thứ 13, 14 hay 15) trước hay trong lúc thụ thai. Người mang gen (người có nhiễm sắc thể chuyển vị) sẽ có 45 nhiễm sắc thể thay vì 46 nhưng họ sẽ có bộ gen của một người mang 46 nhiễm sắc thể. Đây là do nhiễm sắc thể 21 dư đã gắn vào một nhiễm sắc thể khác (nhiễm sắc thể chuyển vị). Người mang gen sẽ có đủ gen nhưng chỉ có một nhiễm sắc thể 21. Người mang gen sẽ không biểu hiện kiểu hình của hội chứng Down vì họ có đúng số lượng gen.

Đối với những cặp đôi đã có một con mang hội chứng Down do chuyển vị trisomy 21 sẽ tăng nguy cơ trẻ mắc hội chứng Down ở những lần mang thai sau. Đây là vì một trong 2 người có thể là người lành mang gen chuyển vị.
Nguy cơ di truyền sự chuyển vị dựa vào giới tính của người bố hoặc mẹ mang nhiễm sắc thể 21 chuyển vị đó. Nếu bố là người mang gen, nguy cơ là khoảng 3%, và nếu mẹ là người mang gen, nguy cơ là khoảng 12%.
Trong những trường hợp có chuyển vị nhiễm sắc thể 21, bố mẹ của trẻ cần được tư vấn về di truyền để xác định nguy cơ của họ. Không có nguyên nhân liên quan đến hành vi hoặc môi trường nào được biết đến sẽ gây hội chứng Down.
Nguy cơ của hội chứng Down là gì?
Một số cặp bố mẹ có nguy cơ sinh con bị mắc hội chứng Down cao hơn những người khác. Các yếu tố nguy có đó bao gồm:
Tuổi mang thai
Khi trứng của người mẹ càng lớn tuổi, nguy cơ sai sót trong phân chia nhiễm sắc thể sẽ tăng cao hơn. Vì vậy, nguy cơ mắc hội chứng Down tăng lên nếu tuổi của mẹ tăng lên.
- Mẹ có độ tuổi 20-24: khả năng con mắc hội chứng Down là 1/1600.
- Mẹ có độ tuổi 25-29: khả năng con mắc hội chứng Down là 1/1300.
- Mẹ có độ tuổi 30-34: khả năng con mắc hội chứng Down là 1/1000.
- Mẹ có độ tuổi 35-39: khả năng con mắc hội chứng Down là 1/365.
- Mẹ có độ tuổi 40-44: khả năng con mắc hội chứng Down là 1/90.
- Mẹ có độ tuổi từ 45 trở lên: khả năng con mắc hội chứng Down là 1/30.
Đã từng có con mắc hội chứng Down
Thông thường, những cặp đôi đã từng có con mắc hội chứng Down sẽ làm tăng nguy cơ (khoảng 1%) đứa con thứ hai cũng mắc hội chứng Down.
Người mang gen bệnh
Bố mẹ mang gen chuyển vị hội chứng Down làm tăng nguy cơ con mắc bệnh phụ thuộc vào loại chuyển vị. Vì vậy, tầm soát trước sinh và tư vấn di truyền rất quan trọng. Những người mắc hội chứng Down hiếm khi có con. 15-30% phụ nữ có trisomy 21 vẫn sinh sản được và họ có khoảng 50% sinh con mắc hội chứng Down.
Hiện chưa ghi nhận bằng chứng nào về người bố bị Down sinh con. Trong khi khả năng sinh ra trẻ bị Down tăng lên theo tuổi mang thai của mẹ, tuy nhiên vẫn có nhiều trẻ Down được sinh ra bởi những người mẹ dưới 35 tuổi.
Tầm soát và chẩn đoán
Các xét nghiệm tầm soát trong thời gian mang thai
Nhiều xét nghiệm tầm soát có thể giúp xác định nguy cơ mắc hội chứng Down. Các xét nghiệm tầm soát này không cung cấp câu trả lời kết luận nhưng cung cấp một dấu chỉ khả năng trẻ sinh ra mắc bệnh Down.
Các xét nghiệm tầm soát truốc sinh thường sử dụng nhất là:
- Siêu âm
- Xét nghiệm máu – Kết quả của siêu âm đi đôi với kết quả xét nghiệm máu.
- Tầm soát trong tam cá nguyệt 1 – Đây là cách tầm soát 2 bước. Máu của sản phụ được xét nghiệm để tìm hai loại protein thông thường của tam cá nguyệt 1. Sau đó, dùng siêu âm để đo độ mờ da gáy của thai nhi.
- Bộ xét nghiệm Sàng lọc - double test – Máu sản phụ được xét nghiệm để thử 4 chất thường được sản xuất bởi máu, não, dịch não tủy và nước ối của của thai nhi. Xét nghiệm này được thực hiện trong khoảng từ tuần thứ 15 đến 20 của thai kì.
- Bộ xét nghiệm Sàng lọc - tripble test – Trong suốt tuần thứ 16 đến 18 của thai kì, có thể làm xét nghiệm máu để đo nồng độ của ba chất: Alpha-fetoprotein (AFP) được sản xuất bởi bào thai, Human chorionic gonadotropin (hCG), và estriol không liên hợp sản xuất bởi nhau thai. Để xác định kết quả của xét nghiệm này, nhân viên y tế sẽ xem xét tuổi, cân nặng và chủng tộc của mẹ.
Xét nghiệm chẩn đoán trong giai đoạn mang thai
Nếu xét nghiệm tầm soát cho kết quả dương tính hay có tồn tại nguy cơ cao trẻ sinh ra bị mắc hội chứng Down, xét nghiệm chuyên sâu hơn sẽ được thực hiện.
Các xét nghiệm chẩn đoán có thể xác định hội chứng Down bao gồm:
- Chọc dò màng ối qua bụng – thực hiện sau tuần thứ 15
- Sinh thiết gai nhau (CVS) – thực hiện từ tuần thứ 9 đến 14
- Lấy mẫu máu qua da rốn (PUBS) – thực hiện sau tuần thứ 18
Xét nghiệm chẩn đoán cho trẻ sơ sinh
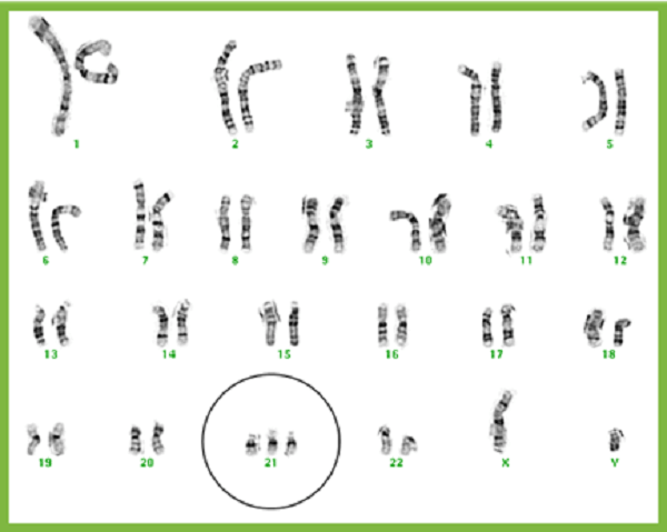
Sau khi sinh, chẩn đoán đầu tiên thường dựa vào kiểu hình của trẻ. Nếu một vài hay tất cả các đặc điểm của hội chứng Down đều hiện diễn, nhân viên y tế sẽ chỉ định xét nghiệm karyotype nhiễm sắc thể. Nếu kết quả cho thấy dư một nhiễm sắc thể 21, trẻ được chẩn đoán mắc hội chứng Down.
Chỉ định và chống chỉ định của xét nghiệm?
Nguyên nhân chỉ định hay không chỉ định xét nghiệm thay đổi ở mỗi người và ở mỗi cặp đôi.
Thực hiện xét nghiệm và xác định chẩn đoán cho bạn một số cơ hội sau:
- Bắt đầu chuẩn bị cho một đứa trẻ với những nhu cầu đặc biệt
- Bắt đầu tìm cách giải quyết các thay đổi sắp tới trong lối sống
- Tìm các nhóm và nguồn hỗ trợ
Một số người hay cặp đôi có thể không đồng ý thực hiện xét nghiệm vì nhiều lí do:
- Họ cảm thấy thoải mái dù kết quả là gì
- Vì lí do cá nhân, đạo đức hoặc tôn giáo, việc phá thai không được cho phép
- Nguy cơ làm tổn hại đến bào thai đang lớn
Cần thảo luận những nguy cơ và lợi ích của việc xét nghiệm một cách kĩ lưỡng với nhân viên y tế của bạn. Nhân viên y tế sẽ giúp bạn quyết định liệu các lợi ích có vượt trội hơn những rủi ro có thể phát sinh từ thủ thuật không.
Bác sĩ khám, điều trị

Tiến sĩ-Bác sĩ Nguyễn Vạn Thông
Khoa: Di truyền
Nơi làm việc: Bệnh viện Hùng Vương
Kinh nghiệm: 24 năm
Vị trí: Phó khoa - Bác sĩ








Bình luận, đặt câu hỏi