Thực quản Barrett
Thực quản Barrett là một bệnh lý tiêu hóa, xảy ra khi các tế bào lót trong thực quản trở nên bất thường. Triệu chứng thường thấy của bệnh thực quản Barrett là ợ nóng, cảm giác chua đắng ở trong miệng.
1. Bệnh thực quản Barrett là gì
2. Triệu chứng của bệnh thực quản Barrett
3. Yếu tố nguy cơ mắc bệnh thực quản Barrett
5. Điều trị bệnh thực quản Barrett
1. Bệnh thực quản Barrett là gì?
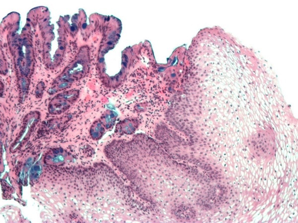
Để hiểu được bệnh thực quản Barrett, trước tiên cần phải hiểu được hình dạng bình thường của thực quản. Ở dạng bình thường, lớp lót mô thực quản có màu hồng nhạt và mịn. Những tế bào lát vuông, gọi là tế bào lát, tạo nên lớp lót bình thường của thực quản.
Ngược lại, thực quản Barrett có lớp tế bào lót có màu cá hồi , được tạo thành từ các tế bào tương tự như các tế bào trong ruột non và được gọi là "chuyển sản bất thường tế bào ruột".
Việc xác định tình trạng thực quản Barrett rất quan trọng bởi vì những người mắc bệnh thực quản Barrrett sẽ có nguy cơ mắc bệnh ung thư thực quản. Thực quản Barrett và các triệu chứng ợ nóng có liên quan đến một loại ung thư thực quản được gọi là "ung thư biểu mô tuyến thực quản".

2. Các dấu hiệu, biểu hiện và triệu chứng của bệnh thực quản Barrett
Những triệu chứng của bệnh thực quản Barrett thường khá giống với bệnh trào ngược dạ dày thực quản với triệu chứng đặc trưng là bị ợ nóng (nóng rát dưới xương ức của bạn) có thể làm bạn thức bạn dậy vào ban đêm, xảy ra sau hoặc ở giữa bữa ăn và có thể cải thiện tạm thời với thuốc kháng acid. Một số triệu chứng khác mà người bị bệnh Barrett có thể gặp phải là:
- Đau tức ngực;
- Khó nuốt ở cổ họng;
- Nghẹn thức ăn hoặc nôn mửa;
- Thở hụt hơi, thở khò khè;
- Viêm thanh quản và khàn tiếng.
Tuy nhiên, một số người không có bất kỳ triệu chứng nào nhưng vẫn có nguy cơ phát mắc bệnh thực quản Barrett.
3. Yếu tố nguy cơ mắc bệnh thực quản Barrett
Tuổi tác, giới tính nam, dân tộc da trắng và các triệu chứng ợ nóng kéo dài hơn 10 năm là những yếu tố nguy cơ của thực quản Barrett. Ợ nóng hút thuốc, và béo phì là những yếu tố nguy cơ để phát triển ung thư biểu mô thực quản. Việc sử dụng thuốc lá và uống rượu là những yếu tố nguy cơ cao hơn cho một loại ung thư thực quản khác là ung thư biểu mô tế bào vảy thực quản. Thuốc lá làm tăng nguy cơ phát triển ung thư biểu mô tuyến thực quản.
Đa phần những người có thực quản Barrett ở độ tuổi 60 tại thời điểm chẩn đoán. Người ta cho rằng hầu hết những người được chẩn đoán mắc bệnh thực quản Barrett đều đã mắc bệnh này từ 10 đến 20 năm trước khi chẩn đoán. Đàn ông có khả năng có thực quản Barrett gấp 3 đến 4 lần so với phụ nữ.
Mặc dù những người trải qua chứng ợ nóng hoặc trào ngược axit có nguy cơ ung thư biểu mô thực quản thực sự gấp 64 lần so với những người chưa từng trải qua những triệu chứng này, nhưng 40% những người bị ung thư biểu mô thực quản không bao giờ bị ợ nóng. Lí do những người này phát triển ung thư biểu mô thực quản vẫn còn là một bí ẩn.
4. Khi nào nên đi khám bác sĩ?
Bạn nên đi khám bác sĩ để chẩn đoán bệnh Barrett nếu bạn có các yếu tố nguy cơ của bệnh (nam giới, 50 tuổi trở lên, triệu chứng trào ngược dạ dày thực quản kéo dài hơn 10 năm). Nếu bạn có các triệu chứng báo động sau, bạn cũng cần phải đi khám bác sĩ:
- Khó nuốt
- Giảm cân không rõ nguyên nhân
- Thấy máu trong phân
- Nôn mửa
- Các triệu chứng dai dẳng bất kể đã điều trị hoặc đau ngực mới xuất hiện
Bác sĩ tham vấn thông tin:
✍ Các bác sĩ Tiêu Hoá Hello Doctor
5. Các phương pháp điều trị bệnh thực quản Barrett
Chẩn đoán
Nội soi là xét nghiệm được lựa chọn để chẩn đoán bệnh thực quản Barrett. Trong quá trình nội soi, một ống mỏng có gắn nguồn sáng và máy ảnh ở đầu ống được đưa qua miệng, xuống cổ họng và vào dạ dày của bạn. Sinh thiết mẫu mô ở thực quản để nhìn dưới kính hiển vi cũng được thực hiện trong quá trình nội soi. Mô thực quản có nhiều loại tế bào bất thường nhất định là tiêu chuẩn cần thiết để chẩn đoán thực quản Barrett và là một trong những chìa khóa để quản lý bệnh Barrett.
Chụp Xquang có cản quang bằng barium ở đoạn ống tiêu hóa trên có thể hữu ích trong việc tìm ra những chỗ hẹp thường gây khó nuốt.
Điều trị
Điều trị bệnh thực quản Barrett bao gồm thuốc kháng acid, chất đối kháng thụ thể histamin và chất ức chế bơm proton. Phẫu thuật cũng là một lựa chọn để điều trị bệnh. Phần lớn bệnh nhân có thực quản Barrett sẽ được điều trị bằng thuốc ức chế bơm proton.
Để thuốc ức chế bơm proton phát huy tác dụng tốt nhất, bạn nên uống thuốc nửa giờ trước bữa ăn. Hầu hết các loại thuốc khác có thể được dùng cùng với thuốc ức chế bơm proton, ngoại trừ các thuốc kháng acid. Thuốc kháng acid có thể bám với hầu hết mọi thứ chúng tiếp xúc, vì vậy nếu bạn đang dùng các loại thuốc này, bạn không nên uống cùng lúc với các loại thuốc khác.
Thuốc ức chế bơm proton hoạt động bằng cách ức chế các bơm lót trong dạ dày để bơm axit vào dạ dày. Ăn đồ ăn từ 20 đến 60 phút sau khi uống thuốc ở dạ dày rỗng sẽ kích hoạt hàng triệu bơm axit đã bị ức chế bằng thuốc. Đây là chìa khóa cho việc sử dụng thuốc ức chế bơm proton tốt nhất.
Quản lý bệnh
Trong khi nội soi, bác sĩ sẽ sinh thiết nhiều lần từ 1 đến 2 cm dọc theo chiều dài của đoạn thực quản Barrett. Độ bất thường của mảnh sinh thiết trên kính hiển vi sẽ ảnh hưởng đến kế hoạch điều trị của bạn.
Chìa khóa để kiểm soát bệnh thực quản Barrett là mức độ loạn sản mà mẫu sinh thiết cho thấy. “Loạn sản" nghĩa là có bao nhiêu tế bào chuyển thành tế bào tiền ung thư. "Không có loạn sản" nghĩa là tế bào Barrett không chuyển thành tiền ung thư. Loạn sản bậc thấp có nghĩa là các tế bào cho thấy một số đặc điểm ban đầu của bệnh ung thư. Loạn sản bậc cao có nghĩa là các tế bào biểu hiện nhiều thay đổi về ung thư. Loạn sản càng nhiều, nguy cơ mắc bệnh ung thư từ thực quản Barrett càng cao.
Tất cả các tế bào của chúng ta đều sẽ chế đi, các tế bào mới liên tục được tạo ra. Ví dụ, gàu là các tế bào da đầu chết cũ đã khô cằn và bong ra. Giống như da của bạn ở bên ngoài cơ thể, lớp lót của thực quản là da ở bên trong cơ thể. Các tế bào giữ DNA trong nhân của chúng. Ung thư là tình trạng DNA đã mất quyền kiểm soát tốc độ phân chia tế bào, hoặc chúng chết một cách nhanh chóng. Trong ung thư, tế bào phát triển và lớn lên mà không cần chết.
Trong sinh thiết không có loạn sản, các nhân tế bào nhỏ, được sắp xếp liên tục và nằm ở đáy của tế bào Barrett. Hầu hết những người có thực quản Barrett và không có tình trạng loạn sản tế bào sẽ phải nội soi nhiều lần trong tương lai để đảm bảo rằng tình trạng này không tiếp tục tiến triển nữa. Theo dõi nội soi ở người mắc bệnh thực quản Barrett không có loạn sản thường được khuyến cáo thực hiện trong 3-5 năm, nhưng bác sĩ sẽ quyết định xem điều gì tốt nhất cho bạn.
Để điều trị bệnh Barrett, hãy liên hệ đặt khám ngay với Hello Doctor chúng tôi theo số điện thoại 1900 1246 để đặt lịch khám với các bác sĩ.
CÂU HỎI THƯỜNG GẶP
Bác sĩ khám, điều trị

Khoa: Tiêu hóa - Gan mật, Nội tổng quát
Nơi làm việc: Bệnh viện Trưng Vương
Kinh nghiệm: 13 năm
Vị trí: Bác sĩ chuyên khoa

Khoa: Nội tiết, Tiêu hóa - Gan mật
Nơi làm việc: Bệnh viện Đaị học Quốc gia Hà nội
Vị trí: Bác sĩ chuyên khoa






Bình luận, đặt câu hỏi